طب الأسنان التجميلي

تبييض اللثة (إزالة التصبغ)

يستفيد المرضى من تبييض اللثة والذي يستخدم تقنية ليزر لإزالة التصبغات الداكنة .

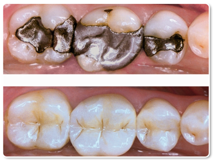
استبدال الحشوات المعدنية التالفة

إغلاق الفجوات

  • يساعد الحشو المركب الأبيض على سد الفجوات بين الأسنان.
  •